Sixth child in US dies of unexplained hepatitis as global cases top 600

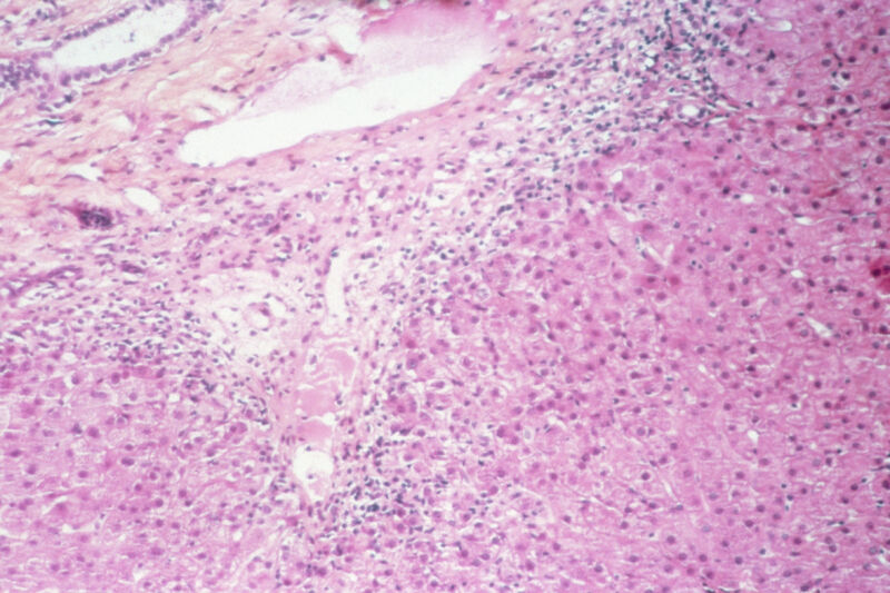
Liver lesions in patient with chronic active hepatitis C.

Enlarge / Liver lesions in patient with chronic active hepatitis C. (credit: Getty | BSIP)

A sixth child has died in the United States from puzzling liver inflammation—aka hepatitis—and the number of unexplained cases has risen to 180 across 36 states, according to the Centers for Disease Control and Prevention.

The latest death was announced in a press briefing Friday, led by CDC Deputy Director for Infectious Diseases Jay Butler, who said it was reported to the agency Thursday. He did not indicate in which state the death occurred.

In addition to the deaths, 15 of the 180 cases required liver transplants, Butler reported. The cases all occurred in children under the age of 10 but skewed to preschool-age children, with the median age being around 2 years.

Read 16 remaining paragraphs | Comments

Analysis of prehistoric feces shows Stonehenge people had parasites

The prehistoric monument of Stonehenge in Wiltshire, UK. A large Neolithic settlement known as Durrington Walls is less than two miles away and is believed to be where the people who built the famous site camped during the main stage of construction.

Enlarge / The prehistoric monument of Stonehenge in Wiltshire, UK. A large Neolithic settlement known as Durrington Walls is less than two miles away and is believed to be where the people who built the famous site camped during the main stage of construction. (credit: Adam Stanford)

Nearly two miles away from Stonehenge, there is a large Neolithic settlement known as Durrington Walls, believed to be where the people who built the famous site camped during the main stage of construction. British archaeologists have analyzed fossilized fecal matter collected at the site and found that it contained the eggs of parasitic worms, according to a new paper published in the journal Parasitology. The preserved feces belonged to both dogs and humans, indicating that people brought dogs to the site with them for winter feasts and likely shared the scraps with the canines.

“This is the first time intestinal parasites have been recovered from Neolithic Britain, and to find them in the environment of Stonehenge is really something,” said co-author Piers Mitchell, an archaeologist at the University of Cambridge. “The type of parasites we find are compatible with previous evidence for winter feasting on animals during the building of Stonehenge.”

For archaeologists keen on learning more about the health and diet of past populations—as well as how certain parasites evolved over the evolutionary history of the microbiome—preserved samples of ancient poo can be a veritable goldmine of information. For instance, ancient Iron Age miners in what is now Austria were quite fond of beer and blue cheese, according to a 2021 analysis of preserved paleo-poop excavated from the prehistoric underground salt mines of Hallstatt-Dachstein/Salzkammergut, a UNESCO World Heritage site. Fecal samples are usually found in dry caves, desert areas, frozen areas, or waterlogged environments (like bogs), where desiccation, freezing, and similar processes preserve the fecal matter for posterity.

Read 9 remaining paragraphs | Comments

Review: New Chip ‘N Dale movie hilariously spoofs classic games, cartoons

When there's danger!

Enlarge / When there’s danger! (credit: Disney)

Traditionally, when Disney films skip theaters and go straight to video, it’s not a good sign. That’s changed somewhat now that the Disney+ content beast needs to be fed, yet the company still differentiates between “triple-A television” like The Mandalorian and “cheap, kid-friendly movies” like the Air Bud series.

Hence, today’s Disney+ premiere of Chip ‘N Dale: Rescue Rangersa PG-rated reboot with little in the way of advance press screenings—had us assuming the worst, despite of its comedy pedigree. The Lonely Island (“Lazy Sunday,” “Mother Lover”) is all over the film’s credits, but how much of the group’s boundary-pushing Saturday Night Live work could survive the family-friendly demands of a straight-to-Disney+ launch?

I’m here with surprisingly good news. Chip ‘N Dale is a self-aware comedy romp that families will appreciate. What’s more, it knows exactly when and how to toy with ’80s and ’90s gaming, cartoon, and pop-culture references without losing character development and physical comedy.

Read 12 remaining paragraphs | Comments

How to Find and Fix Security Vulnerabilities Using Snyk

In this article, we will be covering an important topic, Security in Python. We often download and install packages from PyPi but we’re not sure about the vulnerabilities that might come with them. So, in this tutorial, we will learn about an awesome tool called Snyk that helps
Find the soul